【肥満細胞腫とは?】
「肥満細胞腫(ひまんさいぼうしゅ)」は、犬や猫にできる皮膚の腫瘍のひとつです。
肥満細胞というのは、本来は体の中でアレルギー反応や免疫に関わる細胞で、ヒスタミンなどの物質を放出する役割を持っています。この肥満細胞が腫瘍化して異常に増えてしまうと「肥満細胞腫」と呼ばれる腫瘍になります。
犬では皮膚にできる腫瘍の中で最も多いもののひとつであり、猫でも比較的よくみられる腫瘍です。
見た目は一見すると「ただのしこり」「できもの」に見えるため、早期に気づいて検査をすることがとても大切です。
【症状】
肥満細胞腫の症状はとても多様です。代表的なのは次のようなものです。
・皮膚のしこり:赤くなったり、毛が抜けたり、表面がただれて見えることもあります。
・大きさが変化する:触ると急に腫れたり小さくなったりすることがあります。これは肥満細胞からヒスタミンなどが放出され、一時的に炎症やむくみが出るためです。
・かゆみや痛み:犬や猫がしきりに舐めたり掻いたりすることもあります。
・全身症状:進行すると、嘔吐・下痢・食欲不振などの消化器症状が出ることもあります。これは腫瘍から放出される物質が胃や腸に影響を与えるためです。
見た目は赤く盛り上がったドーム状になったり、脂肪腫のように丸いしこりに見えることもあります。そのため、外見だけでは「良性のしこり」か「悪性の腫瘍」かを見分けることはできません。
※肥満細胞腫の注意点※
しこりを強く触ると、肥満細胞からヒスタミンという物質が放出され、しこりが赤く腫れたり一時的に大きく見えることがあります。まれに全身に影響して、ぐったりしたりショック状態になることもあります(これを「ダリエ徴候」と呼びます)。そのため、しこりを必要以上に刺激しないように注意しましょう。

【診断】
肥満細胞腫かどうかを調べるためには、次のような検査を行います。
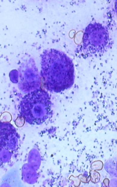
・細胞診
しこりに細い針を刺して細胞を採り、顕微鏡で観察します。肥満細胞は特徴的な顆粒を持っているので、診断の手がかりになります。

・組織検査(生検)
より詳しく調べる場合には、しこりの一部や全体を外科的に切り取り、病理検査に出します。腫瘍の「グレード(悪性度)」を調べるために必要です。
・血液検査・画像検査(X線・超音波検査など)
腫瘍が転移していないか、リンパ節や内臓に広がっていないかを確認します。
特に、肥満細胞腫は肝臓や脾臓に転移しやすいとされているので、注意が必要となります。
【治療】
肥満細胞腫の治療は、主に「外科手術」と「薬物療法」に分けられます。
・外科手術 ⇨根治を目指せる!
肥満細胞腫は周囲に広がることがあるため、腫瘍そのものだけでなく健康そうに見える皮膚も一緒に切除するのが理想です。もし転移がなく、皮膚にひとつだけの発生であれば、外科手術はとても効果的な治療になります。
・抗がん剤治療
切除が難しい場合や転移がある場合には、抗がん剤を使うことがあります。近年では分子標的薬(特定の腫瘍細胞を狙い撃ちする薬)も使われるようになってきています。
・放射線治療
一部の施設では放射線を使った治療が行われることもあります。
・補助療法
腫瘍から放出されるヒスタミンによる副作用(胃潰瘍や嘔吐)を防ぐために、抗ヒスタミン薬や胃薬を併用することもあります。
【予後について】
肥満細胞腫は「良性のように振る舞うもの」から「非常に悪性で転移しやすいもの」まで幅が広い腫瘍です。
・低グレード(悪性度が低い):手術でしっかり切除すれば再発のリスクは比較的低く、良好な経過が期待できます。
・高グレード(悪性度が高い):転移や再発が起こりやすく、追加の治療や継続的な管理が必要になります。
犬種によって発生しやすさに違いがあり、ボクサー、パグ、ラブラドールなどでは比較的多いことが知られています。猫では皮膚にできるタイプのほか、脾臓や消化管にできることもあります。
・グレード分類(Kiupel) ⇨病理組織検査で判断します!
Kiupel分類(病理学的悪性度)

【飼い主さんにできること】
肥満細胞腫は「早期発見・早期治療」が何よりも大切です。
次のことを意識してみてください。
・毎日スキンシップをしながら体を触り、しこりがないかチェックする。
・しこりを見つけたら「様子を見る」のではなく、早めに動物病院で検査してもらう。
・治療後も定期的な健診を受け、再発や転移がないか確認する。
「ただのイボだと思ったら肥満細胞腫だった」というケースは少なくありません。飼い主さんが早く気づいてあげることで、その後の治療成績が大きく変わります。
【まとめ】
肥満細胞腫は犬や猫でよく見られる皮膚の腫瘍で、見た目だけでは良性か悪性かを判断できません。診断には細胞診や組織検査が必要で、治療は外科手術が基本となります。悪性度によって予後は大きく異なりますが、早期に発見し適切に治療することで、良好な生活を送れる可能性は十分にあります。
「ちょっとしたしこりだから大丈夫」と油断せず、気になるものを見つけたら早めに動物病院にご相談ください。